TestablaufSeit unseren ersten Kameratest von 2010, erschienen auf den Markt völlig neue Kameras. Die früher befürchtete kleines Sehfeld, langsame Bildübertragung wurden durch größere und empfindliche Sensoren (in Vorbereitung: Back-illuminated CMOS und 5MPixel CCD), bessere Vorsatzlinsen, in der Kamera eingebautes Puffer (Board Memory), passive Kühlung und vor allem durch USB3.0 Datentransfer weitgehend gelöst. Aus der 2011-er Sortiment blieben nur noch wenige Kameras auf unseren Sortiment.Alle Testfotos wurden durch einen preiswerten Mikroskop (Fremdfabrikat, 500 EUR Preisklasse) mit achromatischen Objektiven 10x (Botanik) und 40x (Hystologie) aufgenommen. Es ging ja darum, die Kamera, und nicht das Mikroskop zu testen... Die Kamera wurde auf automatischer Beleuchtung und Weissabgleich eingestellt um zu sehen, wie sie reagiert, wenn die Präparate einmal mit optimaler, einmal mit minimaler Lichtstärke beleuchtet werden. Das wenig Licht kompensierte die Kamera automatisch mit längeren Expositionszeiten und höheren Gain-Werte, die Qualitätsunterschiede treten beim Betrachten des Bildrausches in Vorschau. Die Qualität einer Kamera ist umso besser, desto weniger Unterschiede (Bildrausch, Kontrast, Farbechtheit) zwischen optimal und unterbeleuchtete Testfotos zeigt (für die volle Auflösung bitte ans Bild klicken!). Beachten Sie auch die Größe des abgebildeten Feldes: das visuelle Gesichtsfeld durch einem 10x/18mm Okular ist mit schwarzem Kreis markiert. Selbstverständlich mit manueller Einstellungen kann man von jeder Kamera mehr Qualität "rauskitzeln". Die getestete Kameras und kurze Anmerkungen:- MicroQ (ohne Vorsatzlinse) 5MPixel - die wohl beste Economy-Lösung, seit 2009 ungeändert. Eine preiswerte Einsteiger Kamera mit brauchbarem Sensor und leichter Handhabung.- MicroQS (mit fix eingebauter Vorsatzlinse) 5MPixel - seit 2015 auf den Markt. Ähnlich, wie MicroQ, aber dank Vorsatzlinse helleres Bild und größeres Sehfeld. Sehr einfach zu bedienen (S steht für "Simple Use") - MicroQW (mit einschraubbarer Vorsatzlinse) 5MPixel - auch ein Dynosäurer aus dem Jahr 2010, damals war Testsieger und hatte einer der empfindlichster Sensor. Vielseitig verwendbar, sowohl mit, als auch ohne Vorsatzlinse. - Optikam B5 (mit einschraubbarer Vorsatzlinse) 5MPixel - die wohl berühmteste Kamera, empfohlen für Dunkelfeldfotografie, seit 2008 auf den Markt. In Sache Lichtempfindlichkeit kann aber mit modernen Kameras nicht mehr mithalten. - MicroQ USB3.L (mit einschraubbarer Vorsatzlinse) 5MPixel - seit 2016 auf den Markt! Durch USB3.0, Board-Memory und passiver Kühlung ist diese Kamera sehr schnell und arbeitet bei wenig Licht auch hervorragend. Verschiedene Vorsatzlinsen sind adaptierbar! - MicroQ PRO (mit einschraubbarer Vorsatzlinse) 10MPixel - die Vorgängerkamera von USB3.L, bereits mit Board-Memory, aber wegen USB2.0 wesentlich langsamer. Nur noch Restbestand, wurde durch den USB3.L. Modell abgelöst - MicroQ USB3.L (mit einschraubbarer Vorsatzlinse) 14MPixel - wie MicroQ USB3.L 5MP, aber mit 14MP Auflösung. Dank USB3.0 ist extrem schnell (HDMI über 25 frame/sec möglich) - MicroQ IMX185c (mit einschraubbarer Vorsatzlinse) 2.3MPixel - COMING SOON (Stand 2016 July), aus der Astroszene bekanntes "back-illuminated" Sensor, mit erhöhten Quantenausbeute (Quantum efficiency). Irrsinnig schnell, wir empfehlen für Videoaufnahmen bei schlechten Lichtverhältnissen: bei Lebendblut-Analyse, oder Phasenkontrast in hoher Vergrößerung die schnelle Bewegungen zu dokumentieren. - MicroQ CCD (mit einschraubbarer Vorsatzlinse) 5MPixel - COMING SOON (Stand 2016 July), ein echtes CCD Sensor mit 5 MP Auflösung!!! Ob dieses Modell den Marktanstieg schafft, ist fraglich. Enorm gute Qualität, "verdammt schnell" (wörtliche Meinung des Testers), wird aber auch teuer sein (Preis steht noch nicht fest). Vor allem auch für Videoaufnahmen bei schlechten Lichtverhältnissen: bei Lebendblut-Analyse, oder Phasenkontrast in hoher Vergrößerung die schnelle Bewegungen zu dokumentieren. |
|||||
| Kamera Foto und Link zur Präsentation |
Abgebildetes Feld Vergleich zur: - APS-C Format (volles Ausschnitt) - visuell durch WF10x/18 Okular |
Botanisches Präparat mit optimaler Lichtstärke und automatischer Belichtungszeit Rauschverhalten beachten! |
Botanisches Präparat in wenig Licht fotografiert, mit Expositionszeit gegengesteuert Rauschverhalten beachten! |
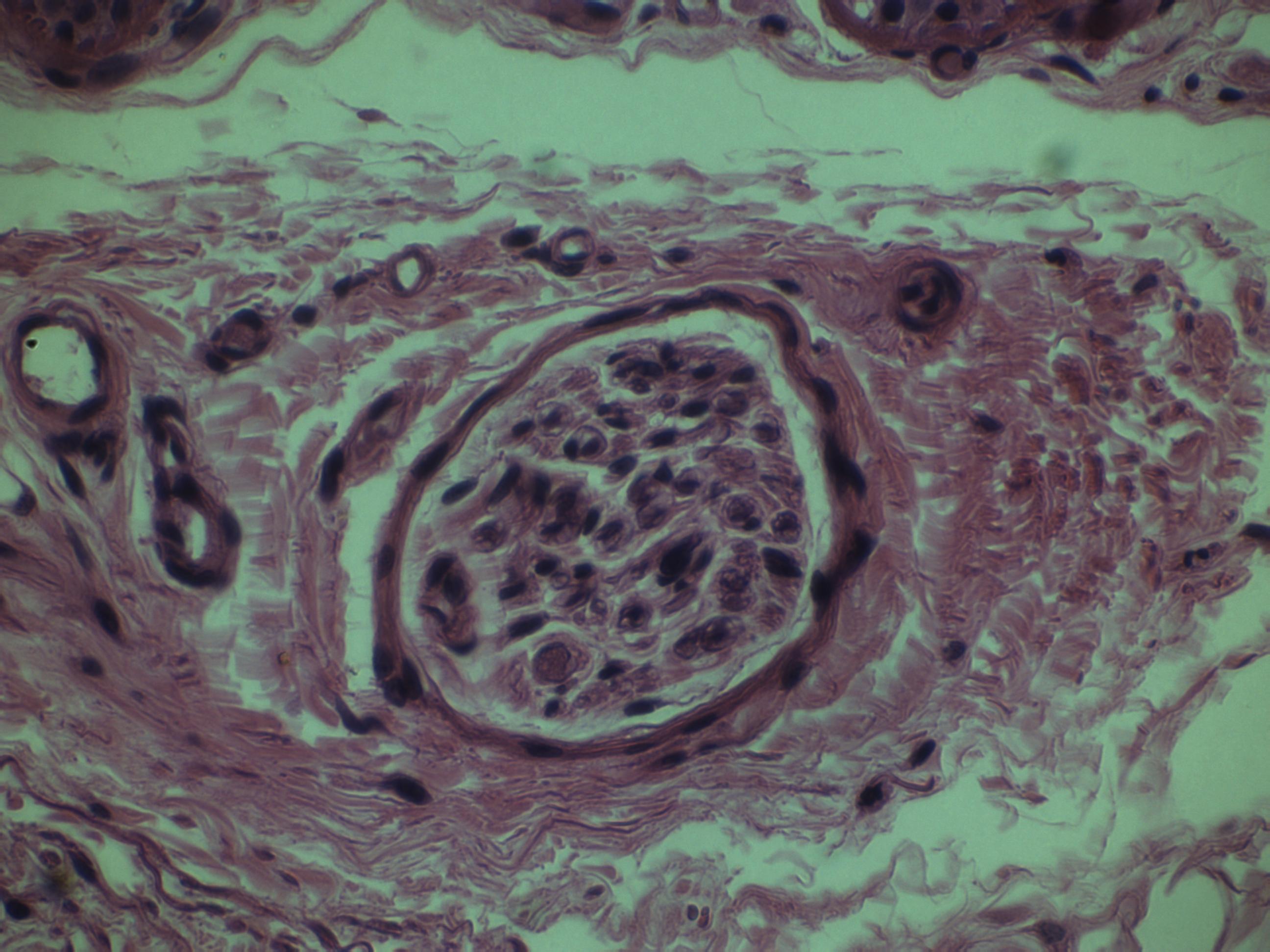
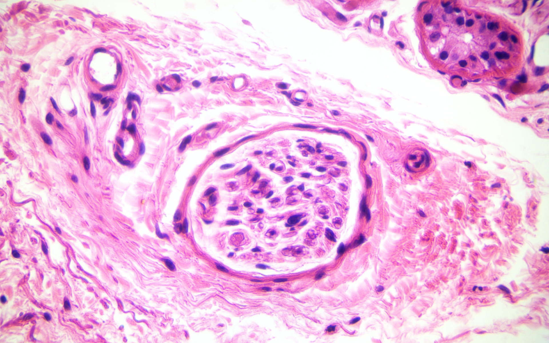
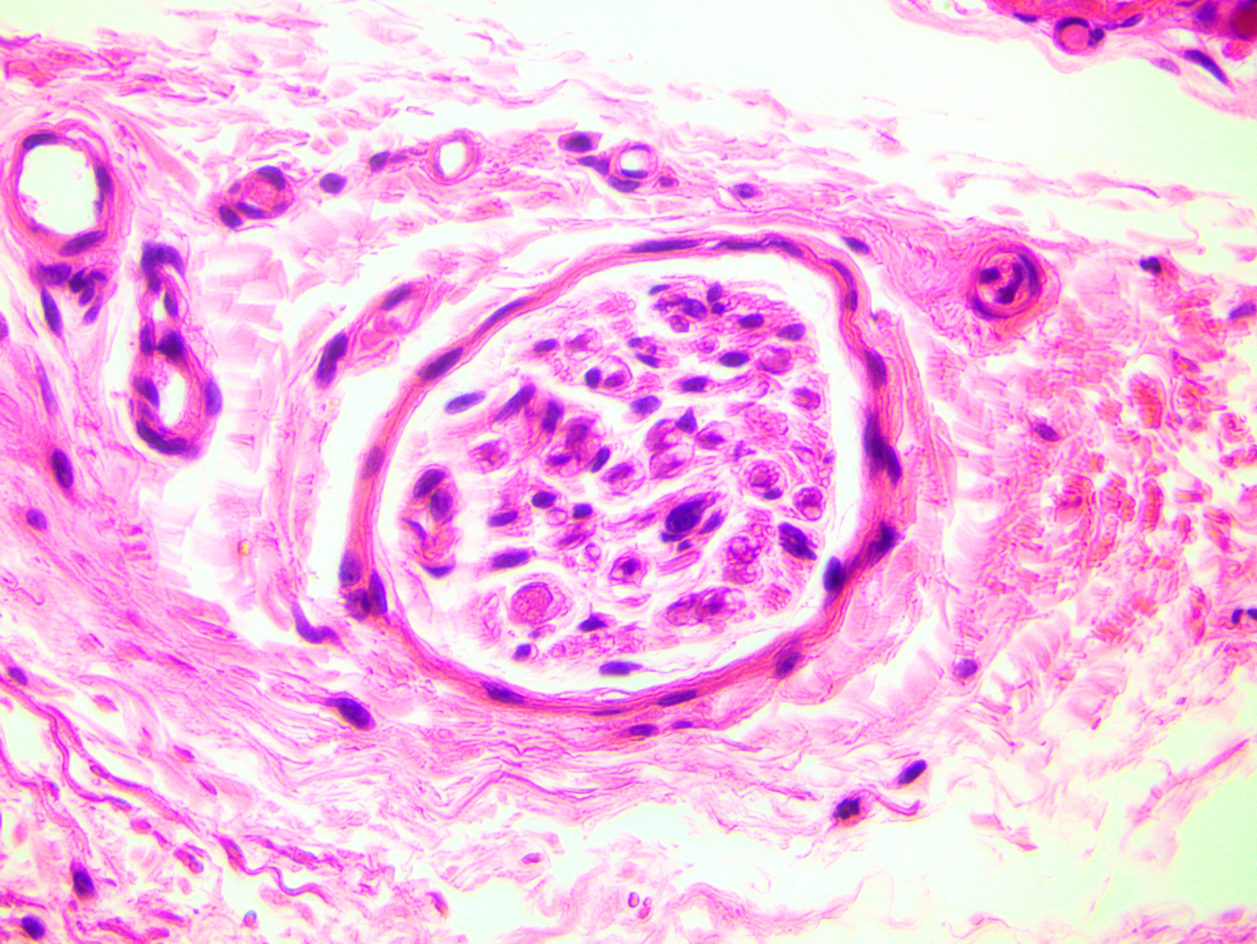
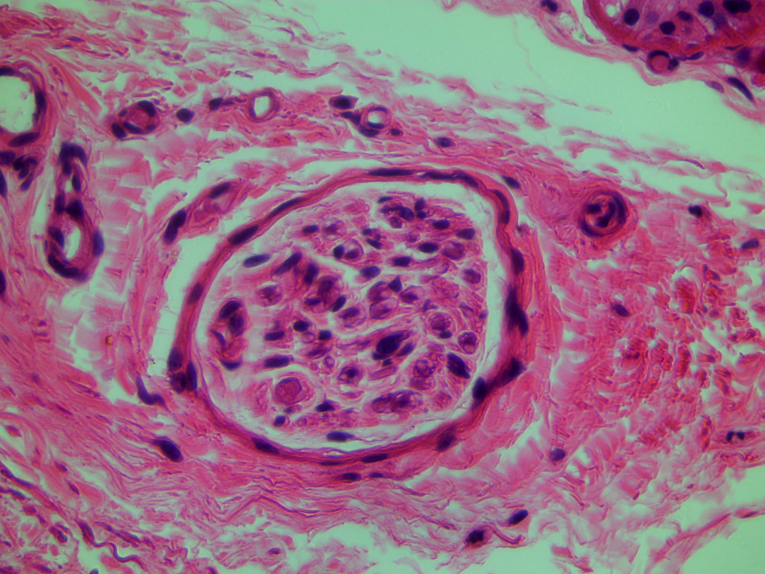
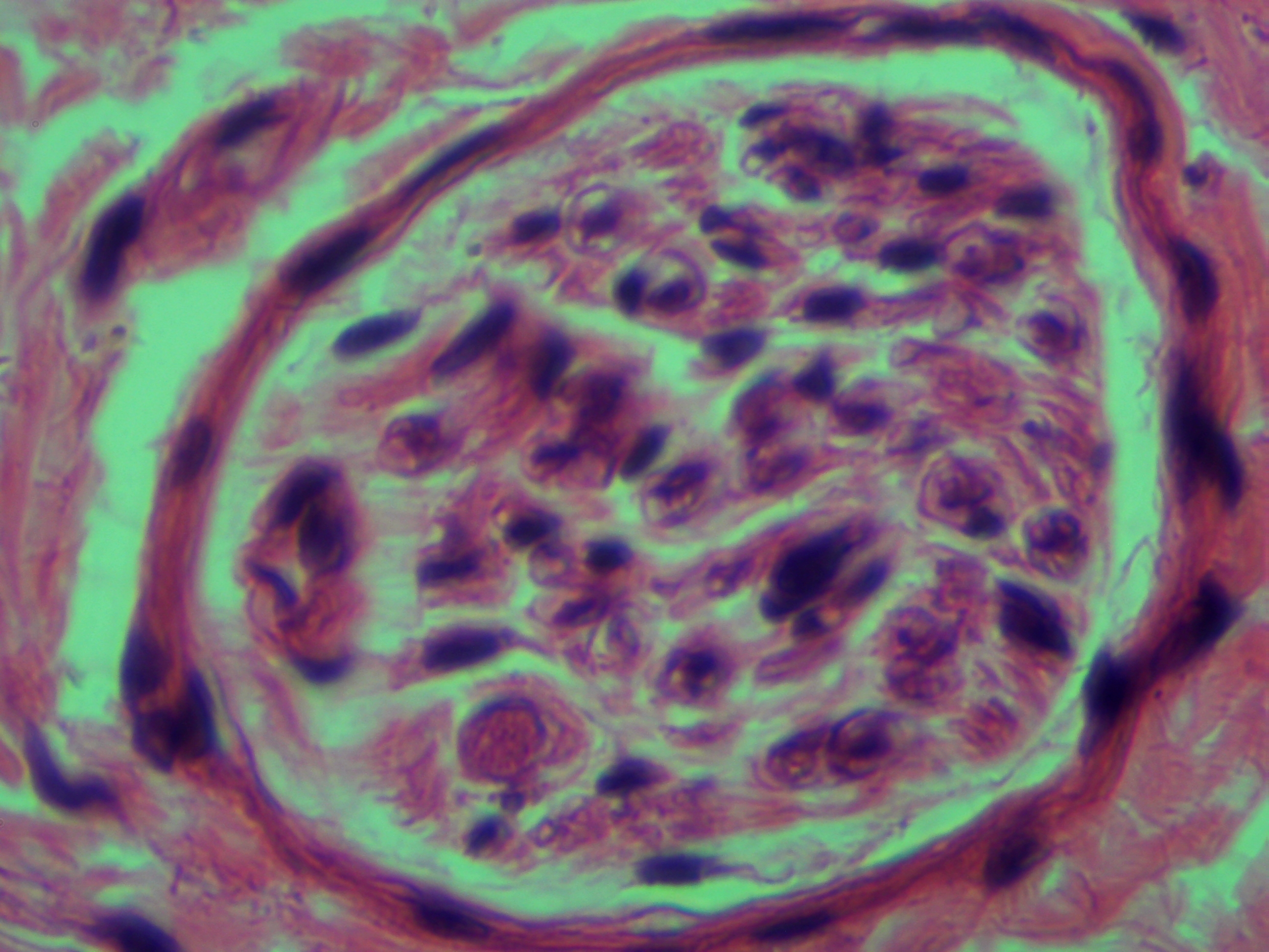
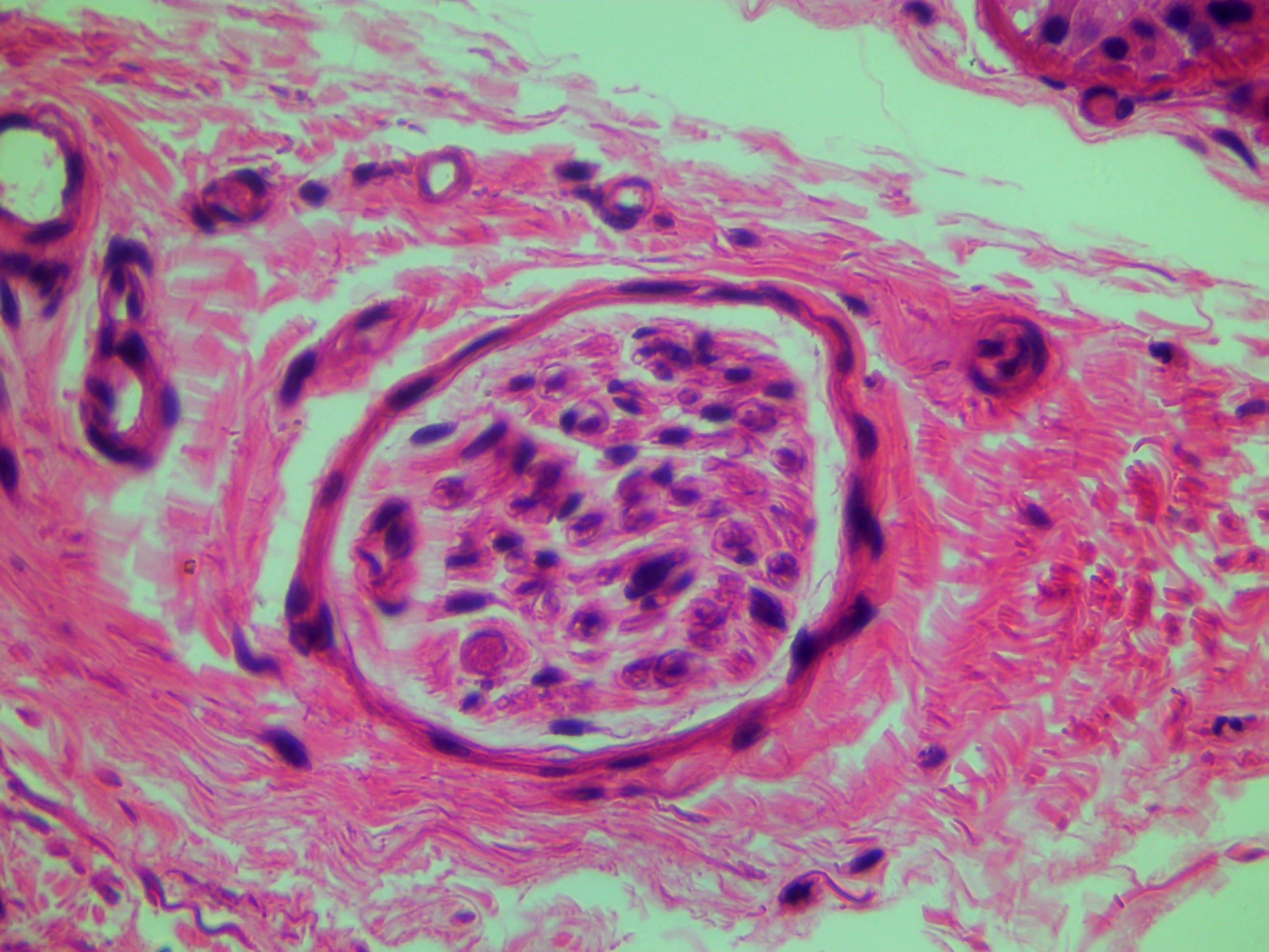
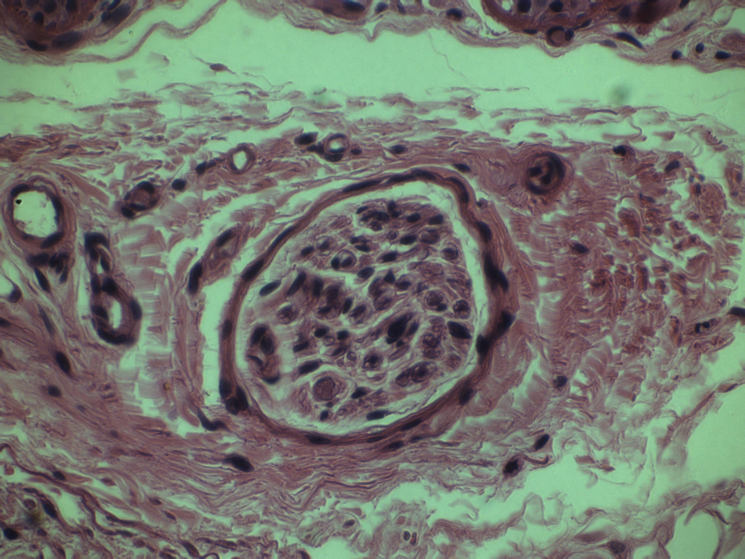
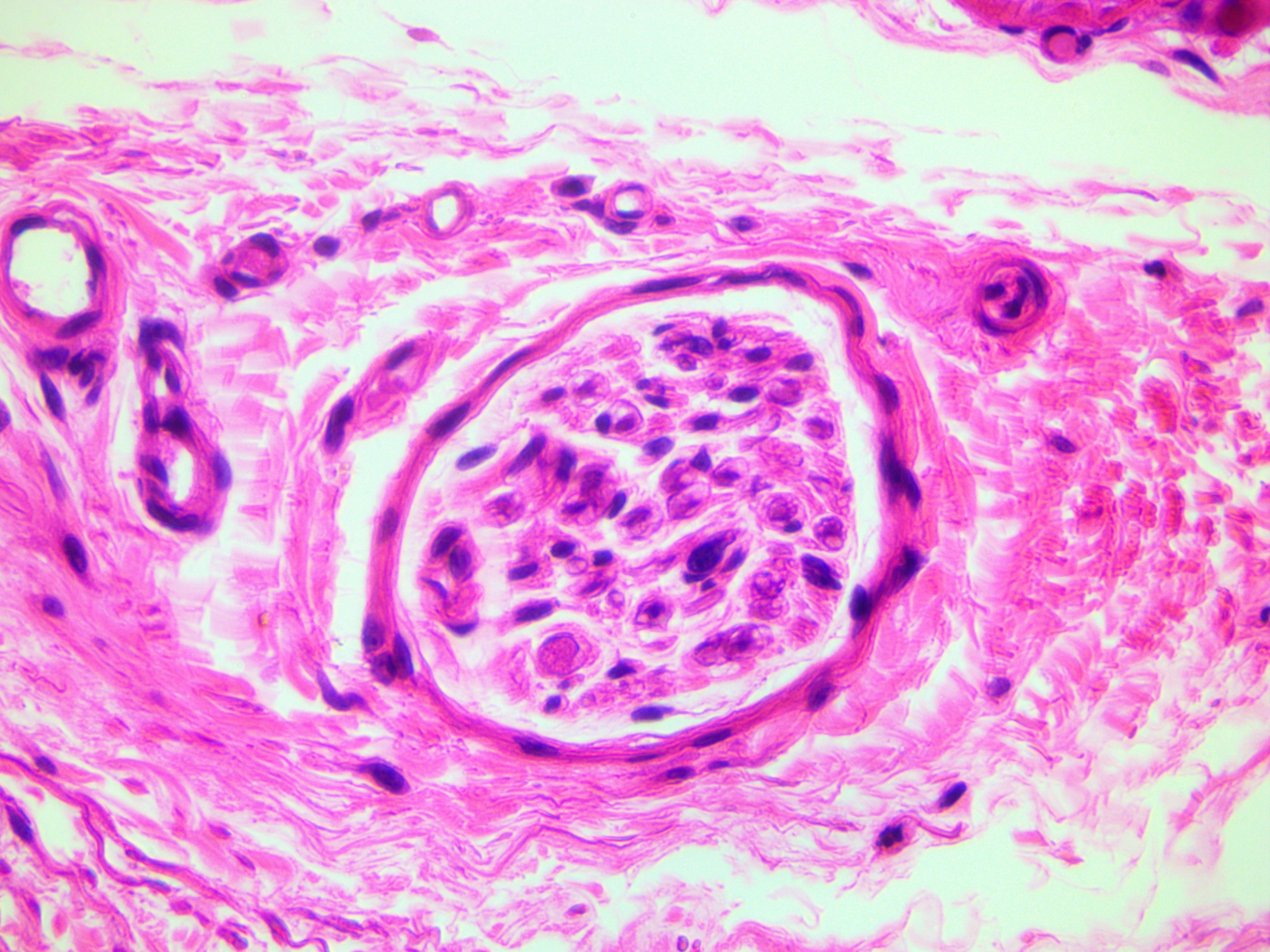
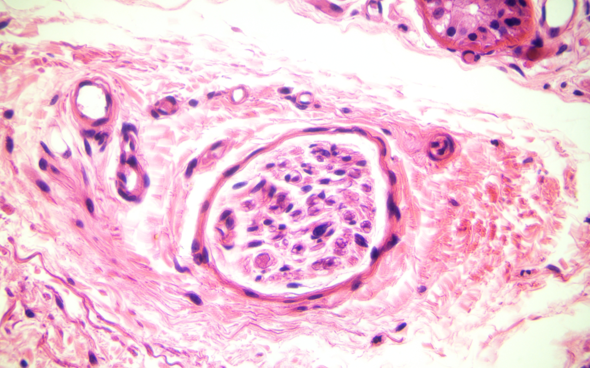
Hystologisches Präparat mit optimaler Lichtstärke und automatischer Belichtungszeit Rauschverhalten beachten! |
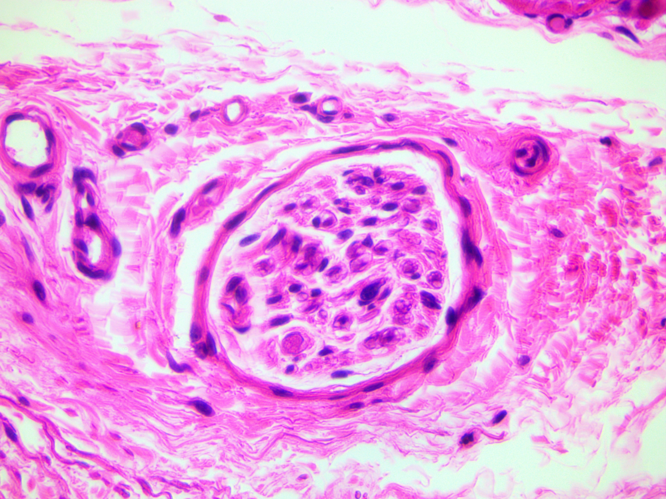
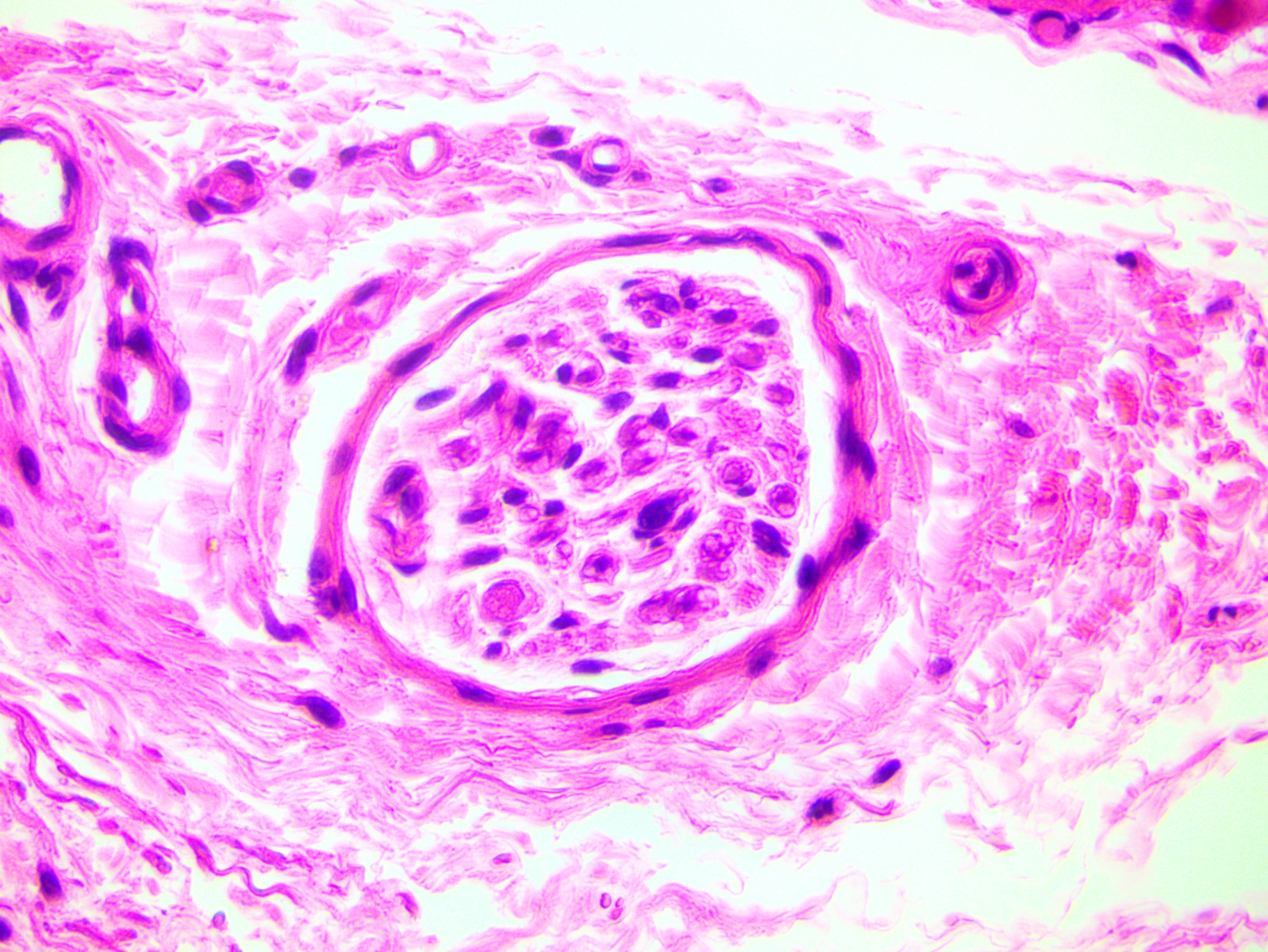
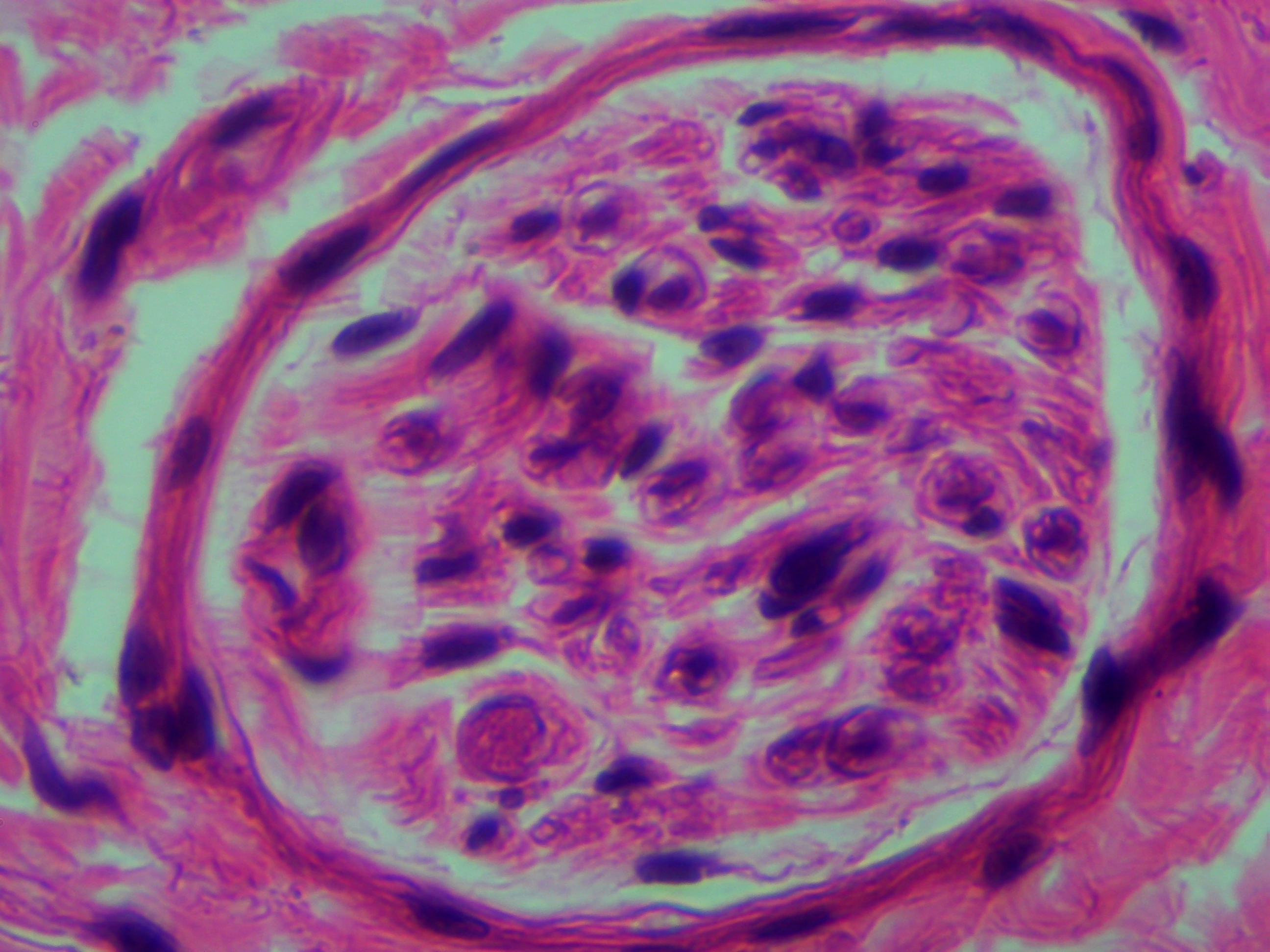
Hystologisches Präparat in wenig Licht fotografiert, mit Expositionszeit gegengesteuert Rauschverhalten beachten! |
MicroQ (5MP)![]() |
![]() |
![]() |
![]() |
![]() |
![]() |
MicroQS (5MP)![]() |
![]() |
![]() |
![]() |
![]() |
![]() |
MicroQW (5MP)![]() |
![]() |
![]() |
![]() |
![]() |
![]() |
Optikam (5MP)![]() |
![]() |
![]() |
![]() |
![]() |
![]() |
MicroQ USB3.L (5MP)![]() |
![]() |
![]() |
![]() |
![]() |
![]() |
MicroQ PRO (10MP)![]() |
![]() |
![]() |
![]() |
![]() |
![]() |
MicroQ USB3.L (14MP)![]() |
![]() |
![]() |
![]() |
![]() |
![]() |
| MicroQ IMX185c (2.3MP) |
![]() |
![]() |
![]() |
![]() |
![]() |
| MicroQ CCD (5MP) |
![]() |
![]() |
![]() |
kein Foto aufgenommen | kein Foto aufgenommen |